Dr Sachin Kadam is a highly skilled Oncosurgeon with 10 years of experience in the field of oncology. He has brilliant Communication skills & is well known for his Patient friendly approach. He builds up confidence in his patients to make tough decisions, by carefully making them aware about their disease and the appropriate treatment required through his vast knowledge.
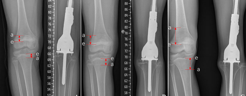
Limb-salvage surgery is a surgical option for malignant tumor in a long bone of leg or arm.
Limb-salvage surgery helps preserve the limb by removing the part of the bone involved with the tumor and some of the tissues that surround it. The bone is replaced with an implant, which can be either a bone graft or a metal prosthesis.
Limb-salvage surgery is part of the treatment for osteosarcoma or Ewing sarcoma. The goal of limb-salvage surgery is to preserve as much of the limb as possible. However, the arm or leg will never be as strong as it was before surgery. Children who have this surgery will not be able to participate in high-impact sports using the affected limb.
There are three main categories of implants used as part of limb-salvage surgery:
All Rights Reserved. © 2022 Dr. Sachin Kadam.